LES LYMPHOCYTES

Précédent Accueil Suivant

 

2. Activation des lymphocytes.

2.1. Immunités innées

Devenir des monocytes



L'activation des lymphocytes innés permet de :

  • polariser la réaction immunitaire adaptative
  • d'apporter une réponse cytolytique rapide
  • d'agir en cas d'échappement aux LTC CD8+ issus de la réaction adaptative

Cliquer sur l'image pour l'agrandir .



La reconnaissance des antigènes T-indépendants par le lymphocyte B apporte une réponse rapide mais peu spécifique et pas toujours efficace.

Cliquer sur l'image pour l'agrandir .

 

2.2. Immunités adaptatives

Les étapes qui précèdent la réaction immunitaire adaptative sont résumées dans une animation au format flash : Aspect topographique de l'initiation de la réponse immunitaire adaptative

 

2.2.1. La réponse humorale



La réponse humorale T dépendante permet d'élargir l'éventail des isotypes synthétisés (au cours de la réponse primaire ou secondaire) et surtout d'induire une réponse hautement spécifique et durable (au cours de la réponse secondaire uniquement)

Cliquer sur l'image pour l'agrandir .

Fonction de quelques isotypes d'anticorps:

Ig G2a anticorps opsonisants et fixant le complément
Ig G1 anticorps neutralisants
Ig A immunité muqueuse
Ig E réaction anthelminthique et allergique

 

2.2.2. La réponse cellulaire.



La réponse cellulaire spécifique conduit à :

  • une réponse hautement spécifique
  • une réponse modulée et contrôlée par les LT helper
  • une mémoire immunitaire

En revanche elle est dépendante des MHC-I.

 

 

Plan

3. Les variations quantitatives des lymphocytes.

3.1. Les lymphocytoses.

 
Chien
Chat
lymphocytose
>2900 /mm3
>7000 /mm3

 

3.1.1. Les lymphocytoses réactionnelles.

Il existe une lymphocytose physiologique due à l'excitation ou la peur. Elle se rencontre essentiellement chez les jeunes. Plus couramment une vaccination récente peut être responsable d'un pic lymphocytaire qui disparaitra dans un délai d'1 à 3 semaines.

Les lymphocytoses pathologiques comprennent :

Plan

3.1.2. Les lymphoproliférations malignes.

3.1.2.1. Les Leucémies Lymphoïdes Aiguës (ou Leucémie Lymphoblastiques Aigües).

Elles sont d'origine médullaire et l'infiltration des organes filtres est fréquente. Il existe de rares formes aleucémiques où les cellules blastiques ne sont pas visibles dans le sang periphérique. Dans ce cas on observe souvent un étouffement de la moelle avec anémie arégénérative, neutropénie et thrombocytopénie.

Le diagnostic fait encore appel au myélogramme et nécessite la mise en évidence de plus de 40% de lymphoblastes. Le diagnostic ontongénique fait appel aux immunomarquages, mais il n'y a pas encore de critères pronostiques bien définis pour les LLA des carnivores. La différenciation des leucémies lymphoïdes aiguës (LLA) avec les leucémies myéloïdes a été traitée précédemment :

Les traitements sont décevants et même si les plus agressifs permettent de diminuer la quantité des cellules circulantes et d'améliorer transitoirement l'état clinique, la rémission ne dépasse jamais 6 mois. Chez l'Homme, les greffes de moelle donnent parfois d'excellents résultats, notamment sur les formes juvéniles.

Leucémie lymphoïde

Ce chien de 8 ans présentait une lymphocytose de 20000 /mm3 associée à une adénomégalie rétro-mandibulaire. Les lymphocytes sont de grande taille et la confusion avec une lignée myéloïde est possible.

Cliquer sur l'image pour l'agrandir.

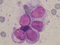
Leucémie lymphoïde

Même chien que précédemment. L'anisocaryose est marquée et la chromatine est fine à mottée. Le cytoplasme est clair, peu abondant, mais hyperbasophile en périphérie. Le noyau est inconstament encoché.LLA

Cliquer sur l'image pour l'agrandir.

Leucémie à grands lymphocytes granuleux

Les lymphocytes sont nettemment immatures, mais l'un d'eux contient des granules azurophiles. Il s'agit d'un leucémie aigüe à grands lymphocytes granuleux. Cette forme est plutôt rare chez le chat. Généralement, dans cette espèce, les proliférations de grands lymphocytes granuleux se font sous forme de lymphome digestif. En revanche cette forme est courante chez le chien.

Cliquer sur l'image pour l'agrandir.

Plan

3.1.2.2. Les Leucémies Lymphoïdes Chroniques (LLC).

Elles sont rares et touchent principalement des animaux âgés.

3.1.2.2.1. Diagnostic

Elles sont souvent longtemps asymptomatiques avant de donner une clinique peu spécifique :

L'hémogramme révèle une lymphocytose comprise entre 10000 et 100000 /mm3. Une hyperglobulinémie est relativement fréquente et une gammaglobulinémie monoclonale peut être observée dans les formes B.

Le myélogramme révèle plus de 30% de petits lymphocytes dont la maturation est normale.

Le diagnostic définitif nécessite de prouver la clonalité de la prolifération en mettant en évidence un clone dont les réarragements du TCR ou du BCR sont identiques. Cet examen n'est pas disponible en routine, mais a été appliqué par certains auteurs.

 

3.1.2.2.2. Traitement.

Il vise à limiter le nombre de lymphocytes circulant, mais il ne permet pas de rémission. Le traitement de base fait classiquement appel à :

Le pronostic est bon avec des taux de survie de 1 à 2 ans.

 

3.1.2.3.Les lymphoproliférations malignes non leucémiques

Elles sont étudiées dans d'autres atlas :

Plan

3.2. Les lymphopénies.

 
Chien
Chat
Lymphopénie
<400 /mm3
<1500 /mm3

Personnellement, j'utilise plutôt un seuil minimal de 900 /mm3chez le chat.

 

3.2.1. L'hypercorticisme.

Qu'il soit d'origine iatrogène ou endogène, l'hypercorticisme provoque une sortie des lymphocytes du torrent circulatoire, notamment vers la moelle osseuse. Il provoque en outre une apoptose des lymphocytes tissulaires. Un stress lié à une hyperthermie suffit a provoquer un hypercorticisme passager, notamment chez le chat.

 

3.2.2. Les causes infectieuses.

Certains virus provoquent une déplétion lymphoïde par apoptose des lymphocytes :

Le choc endotoxinique peut aussi provoquer une lymphopénie sévère et fugace.

 

3.2.3. Les déficits héréditaires.

3.2.3.1. Les Déficits Immunitaires Combinés Sévères liés à l'X.

Ils sont identifiés chez les mâles de certaines lignées de Bassets Hound et de Welsh-Corgi. Les chiens présentent une mutation non fonctionnelle de la chaîne gamma commune aux récepteurs des interleukines 2, 4, 7, 9 et 15 . Ces interleukines sont indispensables au développement et à la survie des lymphocytes, particulièrement des lymphocytes T. Il est parfois nécessaire de réaliser un comptage des sous-populations lymphocytaires, car il peut exister un nombre résiduel significatif de lymphoctes B qui masque la carence des lymphocytes T. Une neutropénie est en outre souvent associée. Les animaux succombent rapidement, parfois dès la première infection.

 

3.2.3.2. Le syndrome d'immunodéficience du Shar-peï.

Il se manifeste, vers les 3 ans de l'animal sous forme d'infections réccurentes et de colite ulcérative. Les lymphocytes sont parfois présents, mais ils sont incapables de s'activer.

 

3.2.3.3. L'aplasie du thymus.

Elle se rencontre chez les chats Birmans qui naissent sans poils (chats nus). Ils meurent en quelques jours.

 

3.2.4. Les fuites de lymphe.

Plan