LES LYMPHOCYTES
La lymphopoïèse est autrement plus complexe que l'hematopoïèse
des autres lignées. Schématiquement il existe :
- Une lymphopoïèse immuno-indépendante au niveau de la
moelle osseuse et du foie, essentiellement active chez le foetus.
- Une lymphopoïèse immuno-dépendante au niveau des organes
lymphoïdes secondaires (NL, rate, thymus, plaques de Peyer), essentiellement
active après la naissance.
Par conséquent les lymphocytes ont la possibilité de
recirculer et de se multiplier, ce qui les distingue des autres lignées
étudiées jusqu'à présent.
1. Définition et morphologie des lymphocytes.
Les lymphocytes désignent un ensemble de sous-populations qui se différencient
par leur phénotype (expression différentielle des molécules
de surface) et par leur fonction, mais très peu par leur morphologie.
Echantillon des sous-populations de lymphocytes
:
|
- Lymphocytes B
- BCR+ : Présentation
des antigènes solubles (surtout les toxines bactériennes)
- BCR- : Plasmocytes
synthétisant les anticorps
- Lymphocytes T
- TCR+
- TCR alpha/beta
- CD4+
- naïfs (Th0)
- Effecteurs :
- CD62L+ : Aide à la réaction cellulaire
- Production d'INF gamma (Th1)
- Production d'IL-4 (Th2)
- CD62L- : Aide à la production d'anticorps
- Ig G2a : anticorps opsonisants et fixant le
complément (Th1)
- Ig G1, Ig E : anticorps neutralisants et Ig
E(Th2)
- Ig A : anticorps muqueux (Th3)
- Mémoires :
- CCR7+ : Production d'IL-2 dans les organes lymphoïdes
- CCR7- : Production de cytokines dans les tissus
(foie, poumon, amygdales)
- INF-gamma (Th1)
- IL-4, IL-5 (Th2)
- Suppresseurs
- CD8+
- Naïfs (Th0)
- Effecteurs : lymphocytes
cytotoxiques (CTLs) et producteurs d'INF-gamma.
- Mémoires :
- CCR7+ : non cytotoxiques présents dans
les tissus lymphoïdes
- CCR7- : "Cellules mémoires effectrices"
très proches des CTLs.
- TCR delta/gamma : impliqués dans la
reconnaissance bactérienne
- Cellules Tueuses (NKT)
- TCR- : Cellules
tueuses (NK)
|
Pour le clinicien, il faut retenir que les effecteurs sont blastiques
(lymphocyte activé) et que les autres sont quiescents. Ceci
peut poser un problème dans l'identification des cellules tumorales qui
sont aussi blastiques. Par ailleurs certaines cellules souches circulantes peuvent
ressembler à des lymphocytes blastiques. Nous retiendrons donc que
les cellules blastiques circulantes sont rares, sauf en cas de leucémie
lymphoïde.
Plan
 |
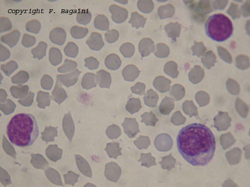
Deux petits lymphocytes au cytoplasme réduit et un lymphoplasmocyte
(forme circulante du plasmocyte). Le caractère hyperbasophile du
cytoplasme, la présence d'un important appareil de Golgi au niveau
de l'encoche nucléaire et une chromatine fortement condensée
permettent son identification.Chat.
Cliquer sur l'image pour l'agrandir. |
 |
Le grand lymphocyte granuleux correspond majoritairement au NK. Le
cytoplasme est abondant, clair et contient un petit nombre de granulations
azurophiles de bonne taille. Chat.
Cliquer sur l'image pour l'agrandir. |
 |
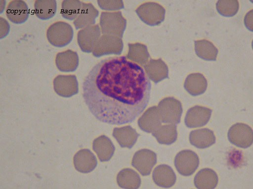
Lymphocyte de grande taille au cytoplasme hyperbasophile. Lymphocte
activé (immunoblaste) de chat.
Cliquer sur l'image pour l'agrandir.
|
 |
Un nucléole bien cerclé est visible et le cytoplasme
est basophile mais moyennement abondant. Lymphoblaste ou cellule souche
de chat.
Cliquer sur l'image pour l'agrandir. |
 |
Lymphocyte tri-nucléolé à cytoplasme étendu
et basophile. Il s'agit d'un lymphoblaste. Chien.
Cliquer sur l'image pour l'agrandir. |
 |
Les lymphocytes binucléés sont en général
révélateurs d'un phénomène lymphoprolifératif,
mais non spécifiques. Chat.
Cliquer sur l'image pour l'agrandir. |
Plan