LES MONOCYTES

Précédent Accueil Suivant

 

Les monocytes possèdent un cycle de production plus court que celui des granulocytes : 3 jours vs 6 jours. La demi-vie est de l'ordre de 8 heures chez le chat.

 

1. La morphologie des monocytes.

monocytes canins

Les monocytes présentent une chromatine finement réticulée et un cytoplasme discrètement basophile. Ils apparaissent plus "étalés" que les neutrophiles, mais ils sont en réalité plus petits. Chien.

Cliquer sur l'image pour l'agrandir.

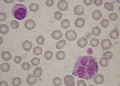
monocytes félins

La microvacuolisation est une caractéristique souvent retenue des monocytes. Chat

Cliquer sur l'image pour l'agrandir.

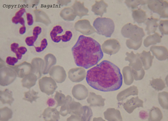
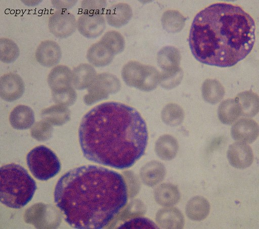
monocytes activés

La vacuolisation est le reflet d'une intense phagocytose, mais aussi parfois un stress du monocyte au moment du prélèvement. On parle de monocyte activé.Chat.

Cliquer sur l'image pour l'agrandir.

monocyte folié

Le noyau des monocytes est très polymorphe. Ici on parle de noyau folié. Chien.

Cliquer sur l'image pour l'agrandir.

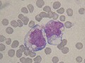
monocyte binucléé

La binucléation peut avoir une connotation maligne, lorsque elle est fréquemment observée sur le frottis. Chat.

Cliquer sur l'image pour l'agrandir.

promonocyte

Les promonocytes sont très rarement observés dans la circulation. La microvacuolisation et un important appareil de Golgi dans l'indentation nucléaire permettent de le distinguer d'un précursseur granuleux. Chien.

Cliquer sur l'image pour l'agrandir.

Plan

2. Fonctions et devenir des monocytes.

Devenir des monocytes



 

Cliquer sur l'image pour l'agrandir .

 

 

3. Les variations quantitatives des monocytes.

3.1. Les monocytoses.

3.1.1. Les monocytoses réactionnelles.

Elles ne sont pas aussi prononcées que les neutrophilies.

 
Chien
Chat
Monocytose
>1400 /mm3
>850 /mm3

 

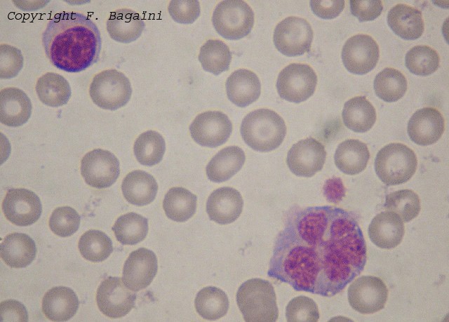
monocytose

Les états de monocytose réactionnelle sont associés à une activation des monocytes.Cette chienne présentait une pyélonéphrite.

Cliquer sur l'image pour l'agrandir.

Elles peuvent être relativement spécifiques lors :

Mais on les rencontre souvent, de manière moins spécifique lors de :

Plan

3.1.2. Les leucémies monocytaires aiguës.

Elles présentent de nombreux points communs avec les leucémies myéloïdes aiguës abordées plus haut. Cependant le nombre de cellules circulantes excède rarement 50 000 /mm3. La différentiation avec les leucémies lymphoïdes aiguës (LLA) est basée sur les critères suivants :

 
LLA
LMA
Taille cellulaire
petite
grande
Rapport N/C
élevé
moyen
Forme du noyau
rond à ovale, parfois encoché
irrégulier avec encoches multiples
Chromatine
granuleuse, parfois mottée
fine ou réticulée
Cytoplasme
basophile, rarement avec de grosses granulations
gris bleuté avec d'enventuelles vacuoles.

 

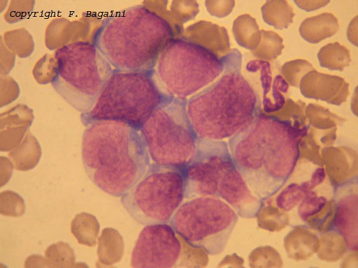
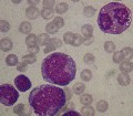
Leucémie monocytaire

Le caractère monocytaire est ici bien marqué. Une figure de mitose anormale est visible. Leucémie monocytaire (LAM5b probable). Chien.

Cliquer sur l'image pour l'agrandir.

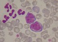
Leucémie monocytaire

Adénogramme du même chien, l'envahissement monocytaire est massif. Un plasmocyte est visible en haut à gauche.

Cliquer sur l'image pour l'agrandir.

Cette chienne de 2 ans présente 90000 cellules immatures circulantes. La chromatine fine et la grande taille des cellules peuvent évoquer une origine monocytaire, mais la distinction avec une leucémie lymphoïde n'est pas évidente.

Cliquer sur l'image pour l'agrandir.

Même chienne que ci-dessus.L'étalement leucocytaire permet une meilleure conservation de la morphologie des cellules. Les noyaux montrent clairement leur tendance à la foliation et une microvacuolisation résiduelle est visible. Leucémie monoblastique (LAM5a).

Cliquer sur l'image pour l'agrandir.

 

On distingue 3 classes de leucémies monocytaires:

Type cellulaire
Classe
Caractéristiques
Leucémie Myelomonocytaire
LM4
Plus de 30% de monoblastes ou myéloblastes, plus de 20% de granulocytes matures et plus de 20% de monoblastes ou monocytes.
Leucémie Monoblastique
LM5a
Plus de 80% de monoblastes.
Leucémie Monocytaire
LM5b
Plus de 30% de monoblastes et plus de 80% de monoblastes ou de monocytes

Plan

3.1.3. Histiocytoses.

3.1.3.1. L'histiocytose systémique.

Elle est surtout décrite chez le Bouvier bernois, mais d'autres races sont sensibles. Les animaux atteints sont en général d'âge moyen à jeune. Cliniquement des périodes de rechutes succèdent aux rémissions. Il s'agit d'une prolifération non néoplasique avec envahissement :

La monocytose n'est pas systématique et parfois on peut observer une lymphopénie. Le diagnostic se fait donc au niveau des organes infltrés.

Plan

3.1.3.2. L'histiocytose maligne.

On la rencontre chez le chat et le chien, avec une prédisposition pour le Bouvier bernois et le Golden retriever. Les animaux atteints sont âgés. Les organes infiltrés sont sensiblement les mêmes que pour l'histiocytose systémique avec les différences suivantes :

erytrophagocytose

L'érytrophagocytose ne s'observe qu'exceptionnellement dans la circulation. Ici il s'agit d'un chat atteint d'histiocytose maligne.

Cliquer sur l'image pour l'agrandir.

 

3.2. Les monocytopénies.

Elles sont rarement isolées, mais souvent associées aux neutropénies. De plus elles ne sont pas aussi dangereuses que ces dernières, à court terme. Lorsqu'elles sont prolongées, elles conduisent à une immunodéficience, comme dans le cas du FIV.

 
Chien
Chat
Monocytopénie
<150 /mm3
<100 /mm3