Les neutrophilies

Précédent Accueil Suivant

 

1.1.2. Les nécroses tissulaires.

Les nécroses tissulaires sont aussi de puissants inducteurs de neutrophilie. En dehors des infections pyogènes et de certaines tumeurs évoquées plus haut on retiendra :

 

1.1.3. Les hémorragies

Les hémorragies aiguës induisent une activation médullaire importante destinée à compenser les pertes. Une activation érythroïde et myéloïde de la rate est souvent associée.

Plan

1.1.4. Les myéloproliférations

1.1.4.1. Les Leucémies Myéloïdes Aiguës (LMA 0-3)

En dehors du FeLV et du FIV chez le chat, aucune cause n'a été clairement identifiée à l'origine des ces pathologies.

Diagnostic:

La clinique est peu spécifique. A son cortège d'anorexie et de léthargie il faut ajouter une infiltration des organes hémopoïetiques :

L'hémogramme révèle une leucocytose très élevée (souvent supérieure à 100000 /mm3) associée à une anémie sévère et une thrombocytopénie. A ce niveau, il est souvent difficile de différencier une LMA d'une Leucémie Lymphoïde Aiguë. Néanmoins certains critères distinctifs peuvent orienter le diagnostic:

 
LLA
LMA
Taille cellulaire
petite
grande
Rapport N/C
élevé
moyen
Forme du noyau
rond à ovale, parfois encoché
rond à ovale
Chromatine
granuleuse, parfois mottée
fine
Cytoplasme
basophile, rarement avec de grosses granulations
finement bleuté avec de fines granulations

 

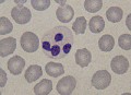
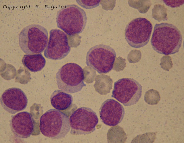
leucémie myeloïde aiguë

Une très importante population monomorphe domine le frottis. Les cellules sont globalement rondes. A ce grossissement il est difficile d'affirmer l'origine myéloïde des cellules. Chien

Cliquer sur l'image pour l'agrandir.

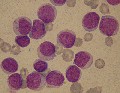
leucémie myeloïde aiguë

Au fort grossissement la chromatine est fine avec des nucléoles bien visibles, le cytoplasme est clair et de légères granulations azurophiles sont (difficilement) visibles. LMA1 ou LMA2 probable.

Cliquer sur l'image pour l'agrandir.

 

Le diagnostic définitif nécessite de mettre en évidence une proportion de plus de 30% de blastes sur le myélogramme. Mais la classification des LMA n'est pas toujours aisée et nécessite très souvent d'avoir recours à la cytochimie et/ou aux immuno-marquages:

Type cellulaire
Classe
Caractéristiques
Leucémie Indifférentiée Aiguë
LIA
100% de blastes sans aucun caractère morphologique cytochimique ou immunologique identifiable.
Leucémie Myeloïde sans maturation
LMA0
100% de myéloblastes uniquement différenciés par la cytochimie ou l'immunocytologie.
Leucémie Myeloïde faiblement différentiée
LMA1
Plus de 90% de myéloblastes et le reste constitué de précurseurs granuleux ou monocytaires plus âgés.
Leucémie Myéloïde différentiée
LMA2
Entre 30% et 90% de myéloblastes. Les monoblastes et monocytes représentent moins de 20% sinon possibilité de LMA5b (Cf.).
Leucémie Promyelocytaire
LMA3
Non décrit chez le chien et le chat.

 

La distinction des LMA des LLA(Leucémie Lymphoïde Aiguë) est importante tant au niveau pronostic que pour l'établissement d'un traitement. En revanche la classification précise des LMA n'a que peu d'intérêt pour le clinicien.

Pronostic et diagnostic :

Le pronostic est sombre avec des durées de survie inférieures à 2 mois.

Parmi les protocoles de chimiothérapie décrits dans la littérature, je précise le moins lourd :

Pour l'instant, les traitements sont très décevants et ils présentent une toxicité gastro-instestinale en plus de la toxicité médullaire. Des soins palliatifs sont, en outre, nécessaires à cause de l'anorexie et des complications (infections, saignements,...).

Plan

1.1.4.2. La Leucémie Granulocytaire Chronique (LGC).

Diagnostic:

La clinique ressemble à celle des LMA, mais elle est tardive et moins prononcée :

L'hémogramme révèle une neutrophilie très élevée (souvent supérieure à 100000 /mm3) associée à une anémie modérée et une thrombocytopénie inconstante. Les neutrophiles sont bien différenciés, avec quelques anomalies visibles :

Toutefois il n'existe aucun moyen de poser le diagnostic de LGC avec certitude chez le chien ou le chat. Le diagnostic se fait par exclusion des autres causes de neutrophilie.

 

Pronostic et traitement :

La pathologie est asymptomatique pendant de longues périodes (jusqu'à 4 ans et demi chez le chien) et débouche sur une crise blastique terminale. Aucun traitement de la crise blastique n'est efficace et aucun traitement n'a pu montrer un intérêt dans le retardement de la crise terminale. La splénectomie peut être parfois pratiquée.

 

1.1.4.3. La myéloprolifération reconstitutrice.

Après une neutropénie sévère, le stock des neutrophiles est rapidement reconstitué en 3 à 5 jours environ. La neutrophilie peut atteindre 40 000 /mm3 lors de cette dynamique myélopoïtique. Les myélemies sont fréquentes dans ce cas et les neutrophiles sont de grande taille. Ces situations se rencontrent fréquemment après une panleucopénie féline ou un ehrlichiose canine.

Plan

1.1.5. L'anomalie de Pelger-Huët.

Il s'agit d'une anomalie congénitale asymptomatique, présente chez le chien et le chat qui se manifeste par une hyposegmentation avec condensation de la chromatine. L'aspect global du frottis montre une fausse déviation à gauche hyporégénérative. Cependant l'examen attentif montre une condensation normale de la chromatine. Les éosinophiles et les basophiles sont aussi concernés.

Il existe des pseudo-anomalies de Pelger-Huët dues à des pathologies médullaires variées:

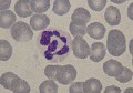
Ces neutrophiles de chien ne sont pas segmentés mais la chromatine est bien compacte. Des neutrophiles normaux peuvent coexister chez les hétérozygotes.

Cliquer sur l'image pour l'agrandir.

Chez ce même chien, le cytoplasme du neutrophile est vacuolisé. Chez les chiens atteints de Pelger-Huët les modifications toxiques des neutrophiles sont fréquentes.

Cliquer sur l'image pour l'agrandir.

Plan

1.2. Les neutrophilies avec bascule à droite.

Ces neutrophilies s'accompagnent d'une hypersegmentation, c'est à dire plus de 5-6 lobes chez le chien et le chat. L'hypersegmentation correspond à un processus de viellissement des neutrophiles du à un défaut de margination et de diapédèse. Cette situation se rencontre notamment lors de :

Les LAD héréditaires ont été decrits chez le Setter irlandais et surtout chez les bovins. Les infections non purulentes apparaissent précocément notamment avec une parondontite. La mortalité intervient en général avant les 6 mois de l'animal.

Hypersegmentation chez le chien avec ici 7 lobes.

Cliquer sur l'image pour l'agrandir.

neutrophile hypersegmenté

Hypersegmentation chez le chat avec ici 7 lobes.

Cliquer sur l'image pour l'agrandir.

neutrophile picnotique

Ici le noyau est picnotique et karyrrhexique chez un chat. C'est un processus anormal dans la circulation. Il est très souvent artefactuel du à une mauvaise conservation du sang. Si ces images sont nombreuses (plus de 10%), il faut renouveler le prélèvement.

Cliquer sur l'image pour l'agrandir.

Le noyau de ces neutrophiles n'est pas lobulé, mais adopte plutôt la forme d'un ruban. Chat urémique.

Cliquer sur l'image pour l'agrandir.

Plan