Les neutrophilies
La neutrophilie s'apprécie en nombre absolu, à
partir de 12000 /mm3 chez le chien et 13000 /mm3 chez
le chat.
Des neutrophilies physiologiques, en relation
avec l'effort, la peur et l'excitation, existent chez les chiots et les chats.
Elles sont dûes au relargage du pool marginé.
Le stress qui occasionne une décharge de cortisol endogène provoque
un relargage du pool médullaire et une diminution de
la margination des neutrophiles. Le pool médullaire correspond à
une réserve de neutrophiles présents dans la moelle osseuse. Cette
réserve existe chez le chien (5 jours), mais pas chez le chat.
Plan
1.1. Les neutrophilies avec bascule à
gauche.
La bascule à gauche (left shift) s'apprécie encore
en nombre absolu avec un nombre de neutrophiles non segmentés
(NNS) supérieur à 450/mm3 chez le
chien et le chat. Les précurseurs myéloïdes présents
sont également inclus dans le pool des non-segmentés. Chez le
chat les cellules immatures peuvent dépasser 50%; le pronostic est alors
sombre et l'on parle de bascule à gauche dégénérative.
1.1.1. Les inflammations
Ce sont les causes les plus fréquentes de neutrophilie.
L'évantail des étiologies possibles est plutôt large :
- Infections bactériennes plutôt localisées. Les septicémies
provoquant rarement des neutrophilies.
- Virus
- Maladie de Carré
- PIF
- FIV.
- Affections immunes chroniques
- Anémie hémolytique immune
- Lupus Erythémateux Disséminé
- Polymyosite
- Arthrite rhumatoïde
- Vascularites Nécrosantes Systémiques.
- Tumeurs
- Carcinomes rénaux
- Fibrosarcomes métastatiques
- Adénocarcinomes pulmonaires
- Polypes rectaux.
- Certains champignons et parasites
 |
Les neutrophiles non-segmentés présentent une chromatine
condensée et un cytoplasme neutrophile. Un myélocyte est
également présent ici.
Cliquer sur l'image pour l'agrandir.
|
 |
La bascule à gauche est associée, chez ce chien, à
une AHI. Les métamyélocytes sont fréquemment libérés
dans la circulation lors d'une production intense. Ils présentent
une légère basophilie résiduelle.
Cliquer sur l'image pour l'agrandir. |
 |
Métamyelocyte de grande taille chez ce chat atteint de FIV.
Ce genre de cellule est assez fréquement retrouvé chez le
chat.
Cliquer sur l'image pour l'agrandir. |
 |
Lors d'activation myéloïde intense, la libération
de précurseurs myéloïdes plus jeunes que les métamyélocytes
(ici un myélocyte) est possible. On parle de myélémie
si la proportion de ces précursseurs dépasse 5%. Cette chienne
présentait un pyomètre.
Cliquer sur l'image pour l'agrandir. |
Certaines neutrophilies sont très prononcées chez
le chien et peuvent atteindre 50000 à 100000 /mm3. Elles sont
parfois nommées réactions leucémoïdes. On les rencontre principalement
dans les cas suivants :
- Infections pyogènes (abcès, pyomètre, pyélonéphrite,
pyothorax...)
- Péritonites
- Anémies hémolytiques immunes
- Infections à Hepatozoon canis qui s'identifient par de grosses
inclusions claires, occupant la moitié du volume des neutrophiles.
Le diagnostic différentiel est facile pour les leucémies aiguës
car pour celles-ci, le frottis montre de nombreuses cellules blastiques souvent
abimées lors de l'étalement. En revanche la différence
avec une leucémie myéloïde chronique n'est pas toujours évidente
à établir.
Dans les affections sévères, des modifications "toxiques"
des neutrophiles sont observées. Elles sont péjoratives dans la
mesure où elles représentent des modifications fonctionnelles
des neutrophiles et signent un asynchronisme de maturation. On s'efforcera de
rechercher :
- des corps de Döhle
- une basophilie du cytoplasme
- des granulations souvent azurophiles
- une vacuolisation du cytoplasme.
 |
Les corps de Döhle sont des résidus ribosomiques.Chien.
Cliquer sur l'image pour l'agrandir. |
 |
Chez le chats les corps de Döhle sont plus fréquents que
chez le chien. Ici de multiples corps de Döhles sont présents
dans un seul neutrophile non segmenté.
Cliquer sur l'image pour l'agrandir. |
 |
Chez ce chat atteint du FIV, les neutrophiles sont de grande taille.
On observera un corps de Döhle, une basophilie résiduelle
et des granulations basophiles. Toutes ces modifications sont dûes
à un asynchronisme de maturation.
Cliquer sur l'image pour l'agrandir. |
 |
Chez ce chat des granulations basophiles cytoplasmiques sont présentes.
Ce neutrophile ne sera pas confondu avec un polynucléaire basophile
car les granules neutrophiles sont identifiables chez le chat, à
la différence du chien..
Cliquer sur l'image pour l'agrandir. |
 |
Les granulations sont ici plus grosses. Chat
Cliquer sur l'image pour l'agrandir. |
 |
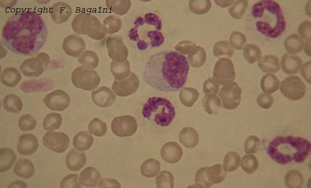
Le noyau peut adopter une conformation circulaire. C'est souvent une
modification "toxique". A l'inverse le noyau folié du
monocyte à droite est tout à fait normal.
Cliquer sur l'image pour l'agrandir. |
Dans les inflammations chroniques la proportion de NNS tend à diminuer.
De même le stress lié à l'inflammation provoque une libération
de cortisol endogène responsable d'une bascule à droite avec une
forte segmentation.
Plan