LES EOSINOPHILES

Précédent Accueil Suivant

 

Comme les neutrophiles, les éosinophiles font un passage rapide dans la circulation (moins d'un heure chez le chien) avec de rejoindre les tissus. Néanmoins leur durée de vie tissulaire est plus longue de 6 jours en moyenne, et dans certaines conditions ils sont capables de recirculer. Les variations sanguines ne sont pas toujours représentatives de ce qui se passe au niveau des tissus. Néanmoins leurs nombreuses fonctions en font des marqueurs importants de certaines pathologies.

1. La morphologie des éosinophiles.

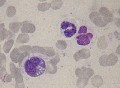
eosinophile de chien

Les éosinophiles de chien contiennent des granules variables en taille et en nombre.Ici on observe de gros granules primaires et de petites vacuoles (corps lipidiques)

Cliquer sur l'image pour l'agrandir.

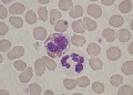
eosinophile de chien

Cet éosinophile de chien contient en plus de petits granules basophiles. Le noyau des éosinophiles est peu segmenté (2 à 3 lobes).

Cliquer sur l'image pour l'agrandir.

eosinophile de chien

Ici les granules primaires éosinophiles sont plus petits et plus denses.

Cliquer sur l'image pour l'agrandir.

eosinophile activé de chien

Lorsque le nombre de granules primaires disparaît au profit des corps lipidiques, on parle d'éosinophile activé.

Cliquer sur l'image pour l'agrandir.

eosinophile toxique

Bien que plus rarement rencontrés que chez les neutrophiles, on peut trouver des éosinophiles "toxiques". Ici il persiste une basophilie cytoplasmique et le noyau est annulaire. Chien

Cliquer sur l'image pour l'agrandir.

précursseur eosinophilique

Les précurseurs éosinophiliques sont très rarement observés dans la circulation. Chien.

Cliquer sur l'image pour l'agrandir.

eosinophile lysé

Ce granulocyte partiellement lysé est probablement un éosinophile. Chien.

Cliquer sur l'image pour l'agrandir.

eosinophile de chat

Les éosinophiles de chat sont moins polymorphes que chez le chien.

Cliquer sur l'image pour l'agrandir.

eosinophile de chat

Les inclusions en forme de batonnet sont ici clairement identifiables.

Cliquer sur l'image pour l'agrandir.

Plan

2. Les fonctions des éosinophiles.

2.1. Les activités lytiques.

Les éosinophiles sont les agents essentiels de la lutte contre les helminthes. Ils sont capables de libérer des toxines et des enzymes hydrolytiques directement au contact du tégument des helminthes. Un mécanisme similaire est sans doute impliqué dans la lyse de certaines cellules tumorales par les éosinophiles. Ces mécanismes ne sont pas encore élucidés.

En revanche, le pouvoir phagocytaire des éosinophiles est limité essentiellement aux complexes immuns; ils possèdent une médiocre activité anti-bactérienne.

 

2.2. La modulation de la réaction inflammatoire

Cliquer sur l'image pour l'agrandir.

 

Plan

3. Les variations quantitatives des éosinophiles

3.1. Eosinophilie

L'éosinophile s'apprécie, une fois encore, en nombre absolu avec les seuils suivants :

 
Chien
Chat
Eosinophilie
1300
1500
Eosinophilie sévère
5000
5000

 

3.1.1. Eosinophilies d'origine parasitaire.

Ce sont les plus fréquentes et elle sont souvent sévères. Principalement ce sont les helminthes tissulaires qui sont incriminés :

Secondairement on retiendra :

Plan

3.1.2. Eosinophilies d'origine inflammatoire.

Elles ne sont pas toujours spécifiques d'une hypersensibilité, surtout chez le chat. Elles se rencontrent aussi pour des inflammations non allergiques. Certains organes sont particulièrement riches en mastocytes et ils constituent par conséquent des sites privilégiés d'activité des éosinophiles (poumon, tube digestif, peau).

Elles peuvent être sévères dans le cas d'atteintes :

Elles sont souvent plus modérées pour les:

Plan

3.1.3. Eosinophilies paranéoplasiques.

Elles peuvent être sévères dans le cas de :

Elles sont moins systématiques dans le cas de :

Plan

3.1.4. Le syndrome d'hyper-éosinophilie.

Dans ces cas rares, l'éosinophilie est très sévère et conduit à une infiltration des organes, notamment le poumon, léthale à moyen terme. Il est en général très difficile de différencier le syndrome d'hyper-éosinophilie vrai d'une leucémie éosinophilique.

Le traitement à base de corticoïdes devient très rapidement inefficace à cause d'une sécrétion massive d'IL-5 qui permet aux éosinophiles d'échapper à l'apoptose induite par les corticoïdes.

Plan

3.2. Eosinopénie

L'éosinopénie est difficile à objectiver, puisque les normes inférieures en éosinophiles sont nulles. Elles sont liés à des activités anormales des corticoïdes et des catécholamines: