LES BASOPHILES

Précédent Accueil Suivant

 

Les basophiles sont assimilables en de nombreux points aux éosinophiles. Leur durée de vie est sensiblement plus longue que pour les éosinophiles avec une demi-vie de 6 heures dans la circulation et une survie de 2 semaines dans les tissus.

 

1. La morphologie des basophiles

Les basophiles sont rares et parfois difficiles à identifier, surtout chez le chien (pas de photo disponible).

basophile de chat

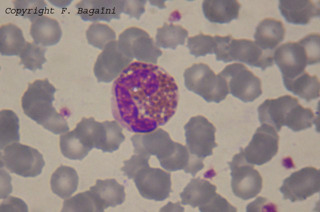
Le noyau des basophiles adopte une forme de ruban. Chez le chat, les granulations ovales à rondes de couleur lavande sont facilement différenciables des batonnets acidophiles des éosinophiles.

Cliquer sur l'image pour l'agrandir.

basophile de chat

Ce basophile de chat présente un cytoplasme nettement basophile avec de gros granules ronds. Il ressemble un peu à un basophile de chien.

Cliquer sur l'image pour l'agrandir.

Basophile de chien. Aucun gros granule n'est visible.

Cliquer sur l'image pour l'agrandir.

mastocyte dans un NL

Deux mastocytes normaux de chat dans un noeud lymphatique. Les mastocytes sont observés dans la circulation, lors de mastocytome disséminé. Ils sont alors souvent hypogranuleux.

 

 

2. Les fonctions des basophiles.

L'ensemble des fonctions des basophiles n'est pas encore totalement identifié.Ils interviennent essentiellement dans les réactions d'hypersensibilité de type I, médiées principalement par les Ig E et accessoirement par la fraction 5a du complément. Ils jouent également un rôle dans l'hemostase avec l'héparine et la kallikreine. Leur activité anti-parasitaire est limitée (tiques).

 

3. Les variations quantitatives des basophiles.

3.1. Les basophilies.

Elles sont rares, souvent de faible amplitude et souvent associées à une éosinophilie. Elles se définissent par les valeurs seuils suivantes:

 
Chien
Chat
Basophilie
>140 /mm3
>200 /mm3

Les causes le plus fréquentes de basophilie sont :

 

3.2. Les basopénies.

Elles sont encore moins facilement objectivables que les éosinopénies. Comme ces dernières elles sont dûes à de l'hypercorticisme la plupart du temps.