Dynamique de la maturation des lignées hématopoïétiques

Précédent Accueil Suivant

 

2.2. Etude spéciale des lignées hématopoïétiques.

2.2.1. La lignée erytroïde.

 

La maturation de la lignée erytroïde dure 6 à 8 jours, en présence d'erytrhopoïétine (EPO).
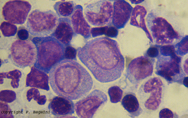
La cellule hyperbasophile de gauche pourrait être une cellule souche. Elles sont rares (0.01 à 0.05% des cellules médulaires) et rien ne permet de les différencier d'une cellules lymphoïde. C'est uniquement pour rappeler que la lecture du myélogramme ne concerne que le compartiment des précursseurs.

La grosse cellule centrale à chromatine fine et à cytoplasme hyperbasophile est un pro-erythroblaste. Les deux petites cellules situées au dessus présentent une chromatine très condensée et un cytoplasme légèrement basophile : ce sont des erythroblastes polychromatophiles.

 

Nous retrouvons un erytroblaste encore basophile et d'autres plus acidophiles. L'erytroblastes situé le plus à gauche montre une expulsion du noyau qui ne se passe pas très bien. Cinq fragments nucléaires satellites se sont formés : il s'agit de corps de Howell-Jolly que l'on peu retrouver dans les hématies circulantes. Cependant les hématies circulantes ne présentent que très rarement des corps de Howel-Jolly multiples.

 

2.2.2. La lignée granulocytaire

 

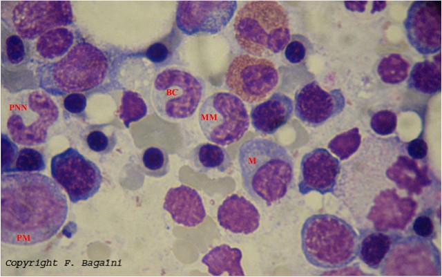
Les 3 premiers stades (du myeloblaste au myelocyte) appartiennent au pool de prolifération et les derniers au pool de maturation. Le cycle complet nécessite 6 jours chez le chien et le chat.

 

Le myeloblaste (les 2 grosses cellules centrales)contient une chromatine fine nucléolée et un cytoploasme basophile. Une faible granulation azurophile est présente, il s'agit de myeloblastes de type II. Le type I est agranulaire.
Le promyelocyte possède souvent un noyau excentré. Le ou les nucléoles ont disparus, la chromatine se condense légèrement et les granulations azurophiles sont plus nombreuses.
Le myelocyte (M) contient quelques granules neutrophiles et le granulations azurophiles ont disparues. Puis le noyau se segmente progressivement donnant naissance au stades successifs de metamyelocyte (MM), band cell (BC) et polynulcéaire neutrophile (PNN)