L'anémie s'apprécie par le taux d'hémoglobine avec les seuils
suivants :
-
12 g/dl chez le chien
-
8 g/dl chez le chat.
Les anglosaxons préfèrent parfois utiliser l'hématocrite comme référence.
C'est d'autant plus acceptable que les seuils de transfusions s'expriment en
fonction de l'hématocrite:
La quantité de sang total à transfuser est encore
une fonction de l'hématocrite. Plusieurs règles de calcul existent. Mais
quelques points sont plus importants à retenir qu'une fonction compliquée :
-
L'objectif de la correction est de rétablir un hématocrite de 20% en
prévoyant les pertes ultérieures.
-
2 ml de sang par Kg de poids vif permettent de récupérer 1% d'hématocrite.
-
En pratique on utilisera globalement 50ml pour un chat adulte et
20ml/Kg pour un chien.
Le diagnostic précis d'une anémie nécessite impérativement un
comptage des réticulocytes (= polychromatophiles) chez nos carnivores domestiques.
Celui-ci fait appel à une coloration spécifique au bleu de crésyl
brillant du frottis ou au thiazole orange en cytométrie de flux. Classiquement
il était d'usage d'utiliser un taux de réticulocytes corrigés, le taux de réticulocytes étant
proportionnel au nombre de globules rouges non nucléés :
Tc = T réticulocytes observés* HTC observé / HTC normal
De plus en plus on préfère interpréter le nombre absolu de réticulocytes
pour classer les anémies. Ces valeurs ne semblent pas parfaitement
standardisées et les tableaux suivants sont fournis à titre indicatif , mais pas
à titre de référence:
| Régénération |
Minimum |
Maximum |
| nulle |
0 |
55000 |
| Faible |
55000 |
150000 |
| Modérée |
150000 |
300000 |
| Forte |
300000 |
>500000 |
| Régénération |
Minimum |
Maximum |
| nulle |
0 |
15000 |
| Faible |
10000 |
160000 |
| Modérée |
150000 |
1000000 |
| Forte |
1000000 |
>1500000 |
Chez le chat coexistent deux populations de
réticulocytes :
-
les réticulocytes à agrégats qui apparaissent avec des grosses mottes
d'ARN sont comparables aux réticulocytes de chien.
-
les réticulocytes ponctués qui ne présentent que quelques "points" d'ARN
ribosomique peuvent persister une quinzaine de jours après le début de l'anémie.
Leur proportion peut atteindre 50% des hématies non nucléées!
Dans ces conditions les normes apparaissent
encore plus floues, si l'on ne distingue pas les deux populations.
Plan
1.1 Les anémies
fortement régénératives.
1.1.1 Les anémies hémolytiques.
On distingue cliniquement :
-
Les hémolyses intra-vasculaires produisent une importante quantité d'hémoglobine
libre qui sera principalement éliminée par les urines (coloration noire
des urines caractérisant l'hémoglobinurie) en occasionnant parfois une glomérulonéphrite.
Une bilirubinémie et une bilirubinurie coexistent souvent, mais elles
sont masquées par l'hémoglobinurie.
-
Les hyperhémolyses extra-vasculaires ont lieu dans la
rate, le foie et la moelle osseuse. Elles sont à l'origine d'une bilirubinémie
et d'une bilirubinurie.
Au commencement des hyperhémolyses, ces signes ne sont pas toujours
cliniquement décelables. Et étant donné la brutalité de certaines formes cliniques,
il convient de ne pas attendre ces symptômes avant d'envisager le diagnostic
d'anémie hémolytique, surtout chez le chat. Le frottis sanguin est particulièrement
riche en renseignements dans ces cas.
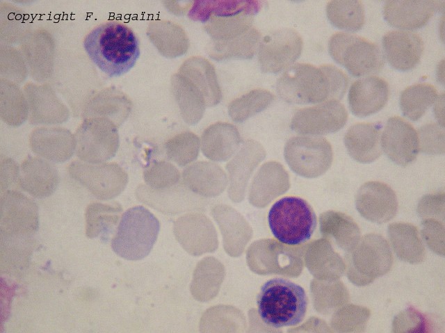
|

|
L'anisocytose et l'anisochromie sont des signes de régénération, dans
la mesure où les jeunes hématies sont plus basophiles et plus grosses.
Un erytroblaste (hématie nucléée) est visible en haut du champ.
cliquer sur la photo pour l'agrandir |
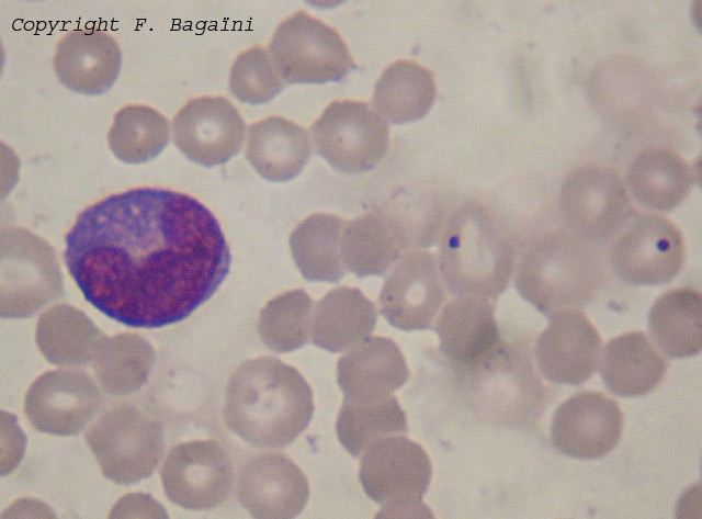
 |
Les érytroblastes sont libérés précocément dans la circulation.
Les réticulocytes surviennent 4 à 6 jours après l'apparition de l'anémie.
La présence d'érytroblastes en l'absence de réticulocytes signe
une dysérythropoïèse ou une anémie régénérative débutante. Un corps
de Howell-Jolly (ADN résiduel) est visible dans un réticulocyte.
cliquer sur la photo pour l'agrandir |
 |
Les corps de Howell-Jolly sont fréquents chez le chat et un taux <5%
est considéré comme normal. Ils augmentent en cas d'anémie souvent à caractère
hémolytique. S'ils sont présents en l'absence d'anémie une exposition
de la moelle osseuse à un agent cancérigène est à redouter.
cliquer sur la photo pour l'agrandir |
1.1.1.1. Les
anémies hémolytiques parasitaires.
 |
Babesia canis : La forme mérozoïte piriforme est la forme
la plus communément observée, par paire comme ici, ou parfois en tétrade.
cliquer sur la photo pour l'agrandir |
 |
Babesia canis :Les trophozoïtes de piroplasme ne sont qu'exceptionnellement
visibles.
cliquer sur la photo pour l'agrandir |
 |
Hemobartonella felis s'observe en périphérie
des hématies, elle n'est visible que pendant certaines périodes de la maladie et il
ne faut pas les confondre avec des artefacts pigmentaires.
cliquer sur la photo pour
l'agrandir |
-
Les babésioses canines s'accompagnent souvent d'une
thrombopénie. Il existe une forme exotique, principalement asiatique due à
Babesia gipsoni plus difficile à identifier en raison de sa petite
taille. Certains chats immunodéprimés peuvent être infestés par Babesia
canis. En outre Babesia felis est endémique en Afrique du Sud et
très pathogène pour les petits et les grands félidés.
- Les hémobartonelles sont rebaptisées hémoplasmes depuis peu avec
Mycoplasma Haemofelis et Mycoplasma haemominutum chez le
chat. Si la coopération du FeLV apporte une synergie évidente,
elle ne semble pas toujours nécéssaire. Le traitement classique fait appel
à la Doxycycline en deux prises quotidiennes pendant 3 semaines, mais l'Enrofloxacine
est une alternative intéressante. Mycoplasma haemocanis est pathogène
chez les chiens immuno-déprimés.
- Pour mémoire, on pourra aussi trouver dans des régions variées du globe
: Eperytrozoon, Theileiria, Anaplasma, Cytauxzoonosis,...
Plan
1.1.1.2. Les
hyperhémolyses immunes (c'est un gros
morceau, accrochez-vous!)
Ce sont les plus fréquentes après les
formes parasitaires. On distingue classiquement :
-
Les Anémies Hémolytiques Auto-Immunes (AHAI) font intervenir des auto-anticorps
dirigés contre des éléments érythrocytaires (glycophorines, band
3 essentiellement chez le chien).
-
Les Anémies Hémolytiques à Médiation Immunes (AHMI) qui mettent en jeu
des anticorps dirigés contre des molécules immunogènes adsorbées à la surface
des hématies ou des anticorps dirigés contre des pathogènes capables de
croiser avec des constituants des hématies.
Pour simplifier, les AHAI sont primaires et les
AHMI sont secondaires à une autre affection. Personnellement
j'utiliserai la notion générique d'Anémie Hémolytique Immune (AHI) pour
regrouper les deux entités dont la distinction clinique et pathogénique n'est pas toujours
évidente. En revanche il convient d'essayer de distinguer les formes extra-vasculaires des
formes intra-vasculaires:
|
Extra-vasculaire |
Intra-vasculaire |
| Fréquence |
80% |
20% |
| Evolution |
Subaiguë à chronique |
suraiguë |
| Splénomégalie / hépatomégalie |
oui |
non |
| Forme immunitaire |
souvent AHAI |
souvent AHMI |
| Effecteurs |
IgG+macrophages |
complément +/- IgM |
| Pronostic |
bon |
sombre |
Epidémiologie :
Les animaux atteints sont jeunes ou d'âge moyen.
Certaines races sont prédisposées, notamment le cocker spaniel et le caniche.
Les femelles non stérilisées sont aussi plus souvent concernées avec une
influence du cycle ovarien sur l'incidence des ces affections.
Le Lupus
Erythémateux Disséminé est un facteur majeur prédisposant aux AHAI.
Pathogénèse :
L'élimination des hématies endommagées ou sénéscentes se fait naturellement
par le système réticulo-endothélial. Plusieurs mécanismes contribuent à emballer
le processus en conduisant à une destruction excessive.
cliquer sur l'image pour l'agrandir
Etiologies des formes secondaires (AHMI)
|
Chien |
Chat |
| Bactéries |
leptospirose, pyomètre |
hémoplasmes |
| Virus |
parvovirose |
FeLV, FIV, PIF, panleucopénie |
| Parasites |
ehrlichiose, babesioses |
babésioses |
| Tumeurs |
myélome multiple, lymphomes, cancers |
lymphomes, cancers |
| Iatrogène |
vaccination, cefalosporines |
? |
Diagnostic de laboratoire.
 |
Les grands réticulocytes hypochromes et déformés ont peu de chance
de donner des hématies fonctionnelles. Les hématies qui n'ont plus de
pâleur centrale sont des sphérocytes et signent une anémie hémolytique.
Le caractère péjoratif des réticulocytes laisse supposer un pronostic
sombre pour cette chienne.
cliquer sur la photo pour l'agrandir |
 |
Les microsphérocytes sont identifiables chez le chat, uniquement par
comparaison avec des hématies normales.
cliquer sur la photo pour l'agrandir |
 |
Chez le chat les rouleaux peuvent se former en l'absence de pathologie.
Dans le cas présent ils sont très nombreux et s'inscrivent dans un
contexte d'autoagglutination pathologique dûe à une anémie
hémolytique.
cliquer sur la photo pour l'agrandir |
 |
La rosette est une autre forme d'autoagglutination. Ici il s'agit d'un
chien atteint de piroplasmose. L'hémolyse est autant dûe à une
destruction directe des hématies par les parasites qu'à un phénomène à
médiation immune.
cliquer sur la photo pour l'agrandir
|
-
Le frottis montre des sphérocytes, une leucocytose
avec neutrophilie et left-shift et des monocytes fortement
activés.
-
La VS est très souvent très
augmentée.
-
Une CIVD peut compliquer le tableau, elle assombrit considérablement le
pronostic.
-
L'autoagglutination sur lame n'est pas systématique, mais elle est toujours
péjorative chez le chien. Chez le chat, ce test n'a que peu de valeur.
Pour réaliser ce test on dépose une goutte de sang sur une lame complétée
d'une goutte de NaCl 0.9%, à la manière d'un cross-match test.
-
Le test de Coombs direct demeure le test de référence malgré son
manque de sensibilité (15-35% de faux négatifs) et de spécificité (surtout
chez le chat) . Afin de garantir au maximum la fiabilité du test, il
convient de respecter les recommandations suivantes :
-
Ne pas faire le test après une transfusion
-
S'assurer de l'absence d'hypergammaglobulinémie
-
Ne pas réfrigérer le sang et effectuer le test le plus rapidement après
le prélèvement
-
Utiliser des réactifs spécifiques de l'espèce cible
-
Si possible employer un test ELISA plus sensible et permettant
d'identifier les Ig A.
-
Le test de Coombs à froid permet de mettre en évidence les hémagglutinines
froides. Il est classiquement effectué à 4°C, mais à cette température il
existe de très nombreux faux positifs et certains laboratoires effectuent
le test à des températures plus physiologiques : 25-30°C. Cependant la clinique
est plutôt évocatrice avec des nécroses des extrémités exposées au froid
(oreilles, nez, pattes), les hémolyses temporaires passant souvent inaperçues.
-
Le test de Coombs indirect n'a que très peu d'intérêt car il est très
souvent négatif chez le chien et il nécessite de posséder des hématies de
référence de l'espèce cible.
Traitements.
En dehors des hémolyses médicamenteuses et de la maladie des agglutinines
froides, le traitement est non spécifique et fait appel à des immuno-suppresseurs
pendant des durées de 3 semaines au strict minimum. Il est fortement recommandé
de poursuivre les traitements à dose décroissante sur 6 semaines.
-
Les corticoïdes à dose immunosuppressive (2-4 mg/kg/j pour la prednisolone,
1-2 mg/kg pour la dexamethasone)
-
Le cyclophosphamide (EndoxanND) à la dose
de 50 mg/m2 4 jours par semaine. Certains auteurs l'utilisent à des
doses de 200-300 mg/m2 dans les cas sévères (auto-agglutination, ictère,
formes intra-vasculaires, CIVD). A éviter si possible chez le
chat.
-
L'azathioprine (ImurelND) à la dose de
50mg/m2/j, en association avec les corticoïdes, présente
l'inconvénient d'être toxique pour le foie et la moelle osseuse, surtout chez
le chat.
-
La cyclosporine à la dose de 10mg/kg/j en
association avec les corticoïdes est une autre alternative
-
Le chlorambucyl (20 mg/m2 toutes les 2 semaines) apparait
intéressant chez les chats ne répondant pas aux corticoïdes.
-
Certains auteurs préconisent l'utilisation des immunoglobulines humaines.
Elles ont une excellente efficacité immédiate, mais fugace. Par ailleurs,
leur emploi soulève, à mon avis, un problème d'éthique, surtout en France
où les donneurs de sang sont bénévoles, ils donnent pour sauver
des vies humaines, pas des chiens ou des chats. Par ailleurs la plupart
des personnes qui reçoivent ces traitements en ont un besoin vital au sens littéral
(en savoir plus :
www.associationiris.org).
-
La splénectomie est à effectuer en dernier recours pour les cas
récurrents ou réfractaires. Elle n'est d'ailleurs pas toujours curative,
surtout à long terme.
-
La transfusion est contre-indiquée, elle
doit être réalisée en dernière instance lorsque le pronostic vital
est menacé par un risque majeur d'hypoxie (hématocrite<10%).
-
La supplémentation en fer est inutile et contre-indiquée lors de la phase
hémolytique, car elle contribue à augmenter la surcharge en fer du
foie.
Plan
1.1.1.3. Les
hyperhémolyses mécaniques
Certaines modifications de la microcirculation sont à l'origine
de turbulences du flux sanguin qui endommagent les membranes érythrocytaires.
Les étiologies les plus fréquemment rencontrées sont :
Les écchinocytes peuvent être artefactuels lors de :
 |
Les écchinocytes sont crénelés, ils seront inévitablement
éliminés par le système réticulé. Ils signent une micro-angiopathie lorsqu'ils
ne sont pas artéfatcuels.
cliquer sur la photo pour l'agrandir |
 |
Chez ce chien atteint d'un hémangiosarcome, des rouleaux sont
observés en plus des écchinocytes et d'acantocytes.
cliquer sur la photo pour l'agrandir |
 |
Les écchinocytes sont accompagnés de dacryocytes. Un schizocyte
est visible.
cliquer sur la photo pour l'agrandir |
|
Nombreux schizocytes. Chien
cliquer sur la photo pour l'agrandir |
Plan
1.1.1.4. Les hyperhémolyses oxydatives
L'oxygène et le fer présents dans le sang constituent un mélange "explosif"
capable de former des radicaux hydroxyl, fortement oxydants. Les modifications
membranaires et de l'hémoglobine apparaissent lorsque les systèmes de régulation
anti-oxydants des hématies sont saturés par d'autres oxydants extrinsèques :
-
Paracétamol toxique chez le chat à partir de 50 mg/kg chez le
chat et de 150mg/kg chez le chien.
-
Les oignons, surtout chez le chien
-
La naphtaline chez le chien
-
La vitamine K1 et le zinc chez le chien
-
Propylène glycol chez les chatons.
-
Le propofol chez le chat
-
Le diabète avec hypophosphorémie, l'hyperthyroïdie
et les lymphomes chez le chat.
 |
Les kératocytes sont parfois assimilés à des schizocytes. Ici
ils apparaissent plutôt apparentés à des éccentrocytes endommagés.
Des microsphérocytes sont également visibles. Ce chat atteint de panleucopénie
présentait en outre une anémie hémolytique.
cliquer sur la photo pour l'agrandir |
 |
Les corps de Heinz s'observent normalement grâce à une coloration au
crystal violet. Il est néanmoins possible d'en identifier certains au
MGG par une légère protubérance sur la membrane. Chez le chat ils
sont pathologiques au-delà de 5%.
cliquer sur la photo pour
l'agrandir |
Le chat est particulièrement sensible et dans les cas sévères on peut
observer une méthémoglobinisation macroscopique du sang (couleur marron).
Le traitement symptomatique fait appel à la vitamine C associée à une
fluidothérapie. Dans les cas sévères on peut essayer le bleu de méthylène
en IV à la dose de 1mg/kg, en administration unique.
Plan
1.1.2. Les
hémorragies.
Très souvent il existe une hypoprotéinémie associée. Seules les anémies
aiguës sont très régénératives, mais comme les anémies hémolytiques, l'apparition
des réticulocytes est différée de 4 à 5 jours.
Une leucocytose avec neutrophilie avec left shift
apparaît immédiatement après l'hémorragie, mais elle est fugace, elle correspond
à une démarginalisation.
Les formes chroniques débouchent sur une anémie
ferriprive (voir ce terme).
Parmi les causes envisagées on pourra retenir :
-
Les traumatismes
-
Les intoxications aux anticoagulants
-
Les CIVD
-
Les hémophilies (chien et chat)
-
Les hémangiosarcomes surtout chez les
chiens
-
Les ulcères gastro-intestinaux surtout chez les chiens
-
Les tumeurs digestives (lymphomes, mastocytomes,
Zollinger-Ellison, gastrinome,...)
-
La coccidiose
-
Les ankylostomes chez le chien
-
...
Plan